
審美歯科
【50代女性】
【インプラント】
【審美治療】
入れ歯を使用している奥歯を
インプラントにしたい。
- 担当医
- -
- 主訴
- 【50代女性】
入れ歯を使用している奥歯を
インプラントにしたい。
- 期間
- 約4ヶ月
- 費用
- 1,369,500円
(インプラント320,100円×4本、
ジルコニアクラウン89,100円×1本)
- 治療内容
- 左右6,7番 計4本を同時にインプラント埋入手術。
約3ヶ月の定着期間を待ち、2次手術を行いアバットメントの装着。
その後型どりとシェードマッチを行い上部構造の作製。
左下6,7は2本、右下は5,6,7の3本をジルコニアクラウンのブリッジにて補綴した。
- 治療に伴うリスク
- 保険適応外、治療期間が長い、手術後は痛みや腫れが出ることがある。
【インプラント】【審美歯科】
インプラント、セラミックを
希望
【インプラント】
虫歯の治療、歯が無いところに
インプラントを入れたい。
- 担当医
- -
- 主訴
- 虫歯の治療、歯が無いところにインプラントを入れたい
- 期間
- 約1年半
- 費用
- 863,500円
(インプラント 265,100円×3本、ジルコニアクラウン68,200円)
- 治療内容
- 右下7番の抜歯と同時に右下6番のインプラントを埋入。
約3か月の定着期間を待ち、2次手術。
その後インプラント上部構造と右下5番のジルコニアクラウンの型どり、装着。
右下5.6番の治療終了後、同様に左下5.6番のインプラント治療を行った。
- 治療に伴うリスク
- 保険適応外、治療期間が長い、手術は痛みや腫れを伴うことがある。
【60代女性】【審美歯科】
銀歯のブリッジを
白い歯にしたい。
【根管治療】
左上第一大臼歯(26)の
根管治療をしたい
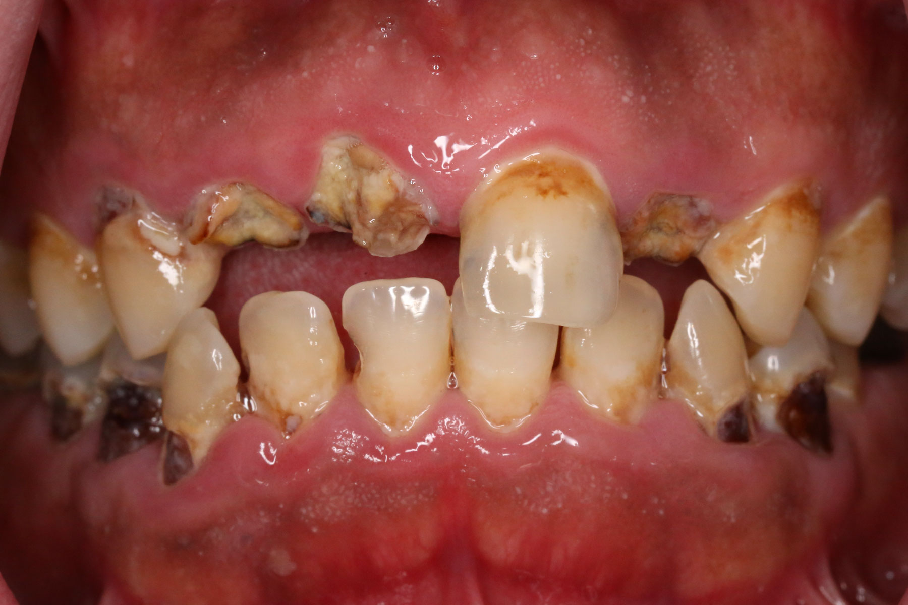
【40代女性】【審美治療治療】
前歯1本抜歯を勧められた。
併せて前歯全体をきれいに
したい。
- 担当医
- -
- 主訴
- 【40代女性】
前歯1本抜歯を勧められた。
併せて前歯全体をきれいにしたい。
- 期間
- 約2か月
- 費用
- 341,000円 (68,200円×5本)
- 治療内容
- 右上1番は抜歯、前装冠は除去し形成と仮歯の作成。
その後型取り、補綴物のセット。
前歯5本ジルコニアクラウンのブリッジでの補綴治療を行った。
- 治療に伴うリスク
- 保険適応外、一時的に仮歯になる、歯を削る必要がある。
【審美治療】故障した
セラミックを修理したい。
- 担当医
- -
- 主訴
- 故障したセラミックを修理したい。
- 期間
- 1ヶ月・2回
- 費用
- 81,000円
- 治療内容
- 故障したセラミックの破折片を除去し、
即日で印象とシェードを採取、仮歯を装着。
2回目にて補綴物を装着し、治療終了後、メインテナンスへ移行。
- 治療に伴うリスク
- 一般的な麻酔リスク、セラミック破損のリスクがある。
【審美治療】前歯の被せ物の見た目が気になる。綺麗にしたい。
- 担当医
- -
- 主訴
- 前歯の被せ物の見た目が気になる。綺麗にしたい。
- 期間
- 約2週間
- 費用
- 178,200円(89,100円×2本)
- 治療内容
- 前装冠を除去し、オールセラミッククラウンでの補綴治療行った。
- 治療に伴うリスク
- 保険適応外、歯を削る必要がある。
【審美歯科】虫歯の治療をしたい。銀歯を白い歯にしたい。
- 担当医
- -
- 主訴
- 虫歯の治療をしたい。銀歯を白い歯にしたい。
- 期間
- 約2週間
- 費用
- 53,900円
- 治療内容
- メタルインレーを除去し、セラミックアンレーでの補綴治療を行った。
- 治療に伴うリスク
- 保険適応外、食いしばりや歯ぎしりがある方は割れる可能性がある。
【虫歯治療】虫歯の治療をしたい。
- 担当医
- -
- 主訴
- 虫歯の治療をしたい。
- 期間
- 約45分
- 費用
- 約2〜3000円(保険適用)
- 治療内容
- コンポジットレジン修復
- 治療に伴うリスク
- 着色、変色することがある。

























